Здравствуйте! Я врач-стоматолог

маргарита Полякова

Более 20 лет я оказываю моим пациентам качественные стоматологические услуги. Вы можете пройти диагностику, профилактику и лечение заболеваний зубов, десен, ротовой полости и височно-нижнечелюстного сустава (ВНЧС).

Какие проблемы я могу решить


Отсутствие зубов, старые протезы, требующие замены.
Множественные трещины зубов или сколы. Вариант решения - керамические реставрации.
Болит или щелкает височно-нижнечелюстной сустав, жевательные мышцы напряжены, скрежетание зубами по ночам.
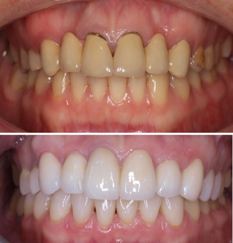
Вам не нравиться цвет ваших зубов и вы мечтаете о белоснежной улыбке.
Зубы мудрости мешают жить или вы готовитесь к исправлению прикуса и требуется удаление по ортодонтическим показаниям.
Разрушен один или несколько зубов, неудобно или больно пережевывать пищу.
Каждая новая улыбка максимально естественна
Пациентка прошла сложный путь от бреккетов до установки имплантатов на месте верхних боковых резцов, протезирование ультратонкими винирами и коронками из оксида циркония.
Тотальная реабилитация с помощью керамических виниров и циркониевых коронок
Пожелание пациенки - не трогать нижние передние зубы, но сделать улыбку светлее, выразительнее, при этом сохранив ее естественность
Ультратонкие виниры на рефракторе
Перед нами стояла задача - восстановить стертые боковые зубы, изменить форму и цвет передних верхних и нижних зубов, сделать улыбку яркой, белой, но при этом натуральной.
Тотальная реабилитация с помощью керамических виниров
От ортогнатической операции до керамических виниров
Сделали тонкие керамические виниры только на четыре передних верхних резца. Было важно воссоздать цвет нижних передних резцов и сделать искусственные зубы неотличимыми от своих.

Мои преимущества

Опыт
20 лет в стоматологии,
сотни клинический случаев любой сложности.
Прецезионность
В своей работе я использую увеличительную оптику и современные цифровые технологии. Это обязательное условие качественного лечения.
Универсальность
Лечение зубов, протезирование, удаление зубов любой сложности.
Вам не нужно тратить время на запись к другим специалистам. Все - за один визит.
Команда
Сотрудничество с коллегами - узкими специалистами. Я направляю только к проверенным профессионалам высокого уровня квалификации.
15 лет вместе
Я сотрудничаю с командой зубных техников много лет.
Мы понимаем друг друга с полуслова.
Только так можно создавать керамические шедевры ваших улыбок.
Я всегда на связи
Вы можете написать мне и задать вопрос.
В каких направлениях я работаю
Эстетическая реставрация улыбки керамическими винирами

Удаление зубов любой сложности, включая зубы мудрости.

Протезирование на дентальных имплантатах

Функциональное протезирование, лечение дисфукции сустава и жевательных мышц.
Микропротезирование зубов керамическими вкладками
Лечение кариеса зубов
Обо мне
Полякова Маргарита Васильевна, врач - стоматолог, ортопед, хирург, кандидат медицинских наук, опыт работы более 20 лет. Закончила Тверскую Медицинскую Академию в 2001 году.
В 2002 г. проходила клиническую интернатуру на базе стоматологической поликлиники ТГМА.


Обучалась в клинической ординатуре по специальности "стоматология ортопедическая" на базе Центрального научно-исследовательского института стоматологии и челюстно-лицевой хирургии г. Москвы (2007 - 2009г.)




Защитила кандидатскую диссертацию на тему "Компьютерное моделирование зубных рядов полных сьемных протезов" ( 2012 г.).

Являюсь соавтором патента.
Сколько стоит ?
Консультация
Стоимость от 1500 до 3000 руб.

Длительность от 30 мин до 60 мин.
Включает опрос, осмотр, фотографирование(фотопротокол), заполнение анкеты, анализ результатов рентгенологических снимков, КТ (при наличии). Стоимость КТ не входит в стоимость консультации.

Результатом первичной консультации является предварительный план лечения или назначение дополнительных исследований для уточнения диагноза и составления окончательного плана лечения.
Лечение кариеса
Стоимость от 7000 руб.

Определяется размером и глубиной кариозной полости, техникой реставрации (прямая - композит/ непрямая - керамическая вкладка)

Лечение пульпита/периодонтита
Стоимость от 15000 руб.

Определяется количеством каналов (1-4), этапами обработки (1-3).
Без стоимости восстановления коронковой части зуба.
Керамическая вкладка
Стоимость от 43000 руб.

Включает оттиски, техническую часть, фиксацию на композитный цемент.

Керамический винир/коронка
Стоимость от 60000 руб.


Включает оттиски, техническую часть, фиксацию на цемент.

Коронка из оксида циркония на имплантате
Стоимость от 80000 руб.

Включает оттиски, техническую часть, фиксацию на цемент.

Удаление зуба
Стоимость от 6000 руб.
Зависит от степени сложности и расположения зуба в челюсти.
Включает анестезию, удаление, наложение швов.

*Цены на сайте носят информационный характер и не являются публичной офертой.
Окончательная стоимость лечения определяется на консультации.

Блог

    Контакты

    Веду прием по адресу:
    клиника "Перфект-Дент"
    г. Москва, ул. Садовая-Триумфальная, д. 12/14 (вход со стороны Воротниковского пер.)